Симонян Ани Эдувард
г. Москва, ул. 1-я Дубровская д.1 к.2
dr.ani@list.ru
Go back
Изображение

Стоматологические услуги в Москве

Человеческий подход и полное спокойствие во время лечения

Услуги и их стоимость

  • Профессиональная гигиена полости рта - от 9000
  • Лечение кариеса - от 14 000
  • Лечение пульпита - от 17 000 (в зависимости от количества каналов и их проходимости)
  • Лечение периодонтита - от 20 000 (в зависимости от количества каналов, сложности их прохождения и запущенности процесса)
  • Диагностика + консультация (КТ снимок + расшифровка в кресле, составление плана лечения, рекомендации) - 6000

Почему мне доверяют

trust

Комфорт и расслабление

Делаем все для вашего комфорта и спокойствия на каждом визите
treatment-plan

Честный подход к лечению

Не навязываем лишнего, все процедуры обоснованы медицинской необходимостью
tooth

Доверие и прозрачность

Ведем фотопротокол, чтобы вы были уверены в каждом нашем действии

Обо мне

Меня зовут Симонян Ани Эдувард, для пациентов Анна Эдуардовна.

Закончила Волгоградский медицинский университет в 2016 году. Ординатура Московский областной научно-исследовательский клинический институт имени М.Ф. Владимирского по специальности «Стоматология общей практики». Опыт работы более 9 лет.

Постоянно прохожу курсы по развитию мануальных навыков. Изучаю теоретическую составляющую не только в терапевтической стоматологии, но и смежных специальностях (ортопедия, хирургия) для развития общего клинического мышления. Долгое время занималась переводами научных статей для коллег и студентов.

Лечу не следствие, а причины, применяю комплексный подход.

Использую в своей практике принципы доказательной медицины.

Моя цель, как врача - помогать людям. Мы с пациентами команда, объединенная общей целью-здоровая и красивая улыбка.

Примеры работ

Лечение кариеса

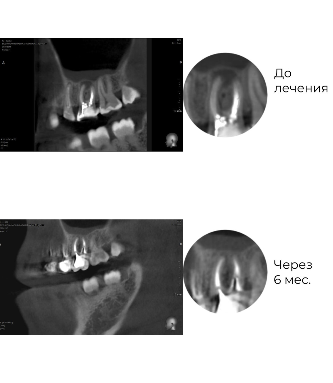
Лечение кист, периодонтита

Лечение пульпита

Чистка

Отзывы наших пациентов

Напишите нам, мы ответим на все ваши вопросы

Заполните форму, и менеджер свяжется с вами для обсуждения деталей

Контакты

г. Москва, ул. 1-я Дубровская д.1 к.2